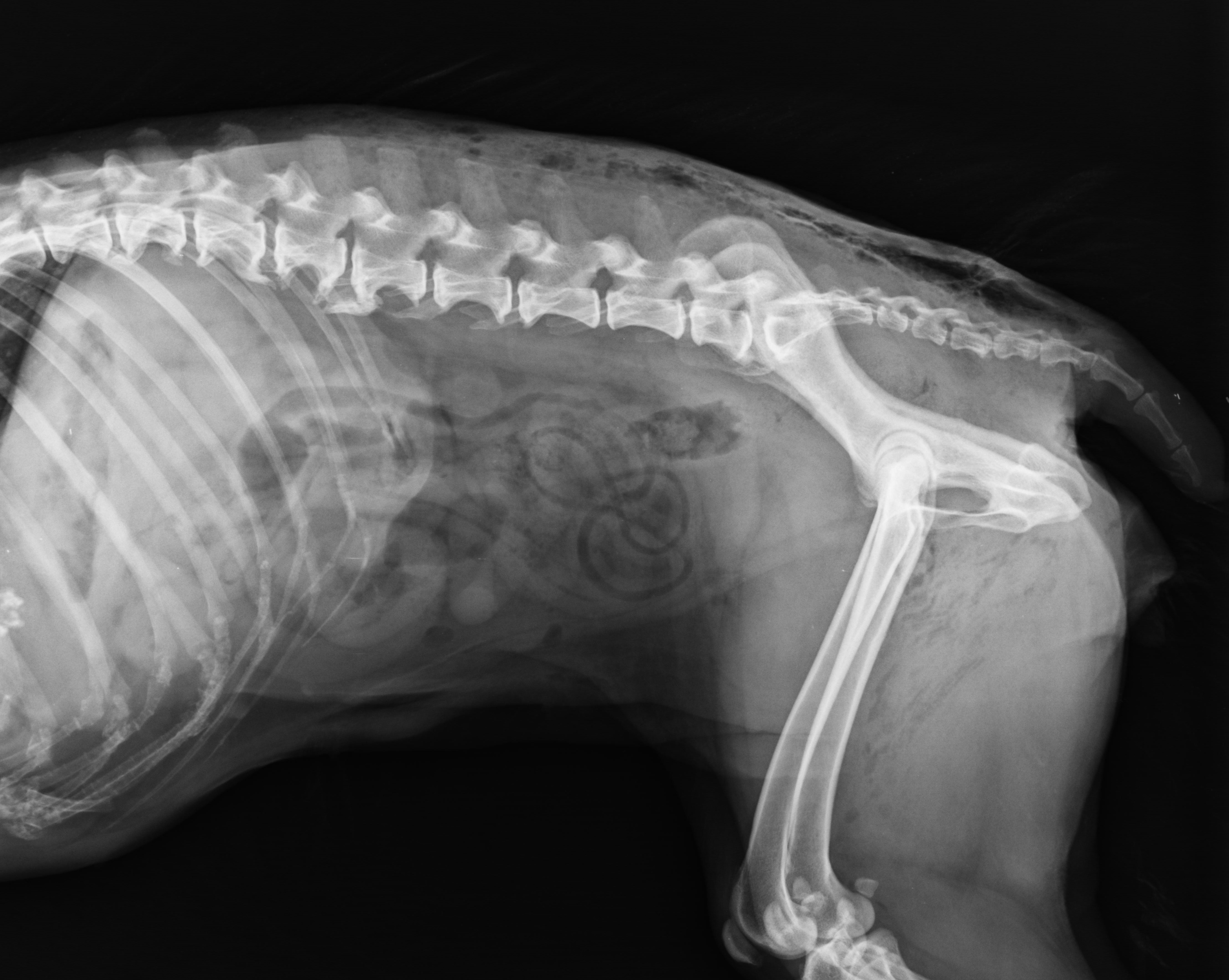
Spinal Arthritis
$15
-
$30
(Non-CE / CE Eligible)
Free
for Premium Membership subscribers
